Funktion & Ästhetik
Zahnmedizin, die den ganzen Menschen im Blick hat – individuell und persönlich
In unserer Zahnarztpraxis stehen Sie als Mensch im Mittelpunkt. Wir bieten Ihnen eine Zahnmedizin, bei der wir stets Ihre gesamte Person und Ihr Wohlbefinden berücksichtigen. Von der vorbeugenden Prophylaxe bis zur umfassenden Versorgung von Zähnen, Zahnfleisch und Kiefer – Gesundheit, Funktion und Ästhetik verschmelzen bei uns zu einem harmonischen Ganzen.
Dabei legen wir großen Wert darauf, dass Sie sich bei uns rundum gut aufgehoben und verstanden fühlen. Unsere Behandlungskonzepte sind so einzigartig wie Sie selbst – individuell abgestimmt auf Ihre Wünsche und Bedürfnisse.
Erleben Sie Zahnmedizin, die Ihr Wohlbefinden in den Mittelpunkt stellt und Individualität sowie Vertrauen vereint. Wir freuen uns darauf, Sie bei uns begrüßen zu dürfen!
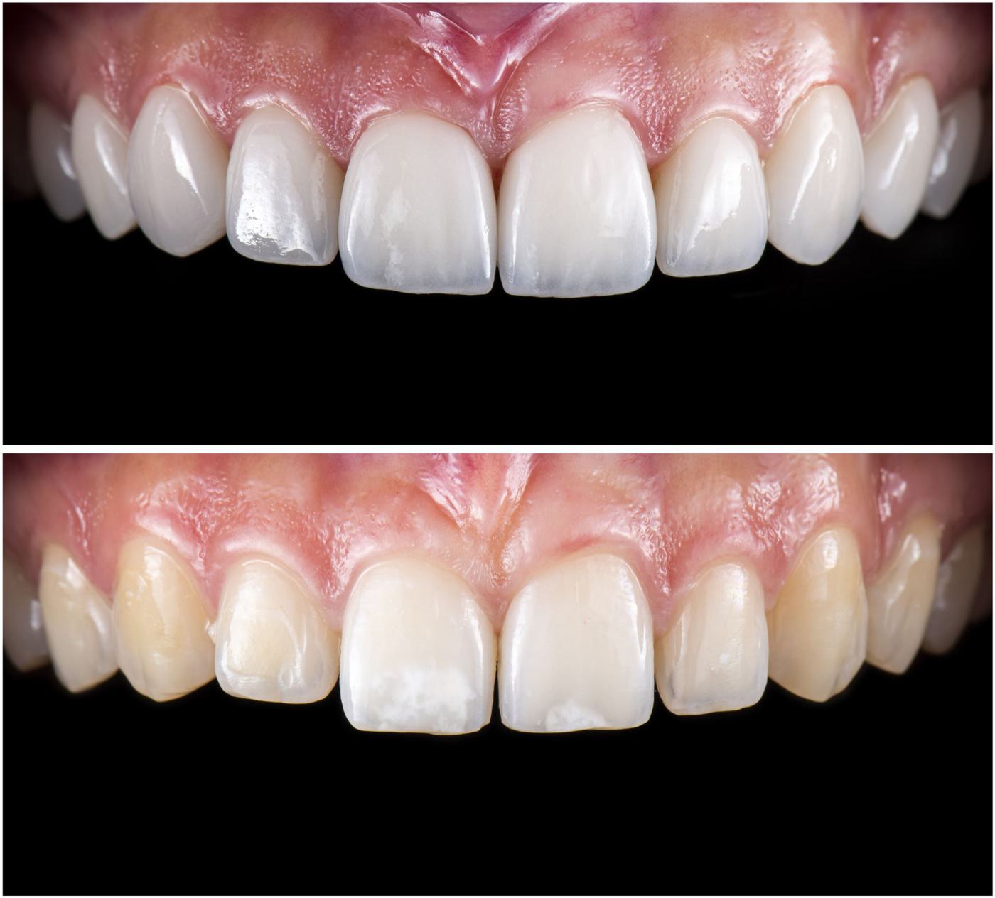
Ihr Lächeln – strahlend, selbstbewusst, einzigartig.
Ihr Lächeln – Schlüssel zu Vitalität und Erfolg
Ein strahlendes Lächeln öffnet Türen und berührt Herzen. Es steht für Vitalität, Selbstbewusstsein und echte Lebensfreude. Gesunde und gepflegte Zähne schenken Ihnen Sicherheit und verleihen Ihnen eine positive Ausstrahlung – im Beruf wie im Privatleben.
Unsere Praxis vereint höchste Ansprüche der modernen ästhetischen Zahnmedizin mit Leidenschaft, Präzision und Erfahrung. Als aktives Mitglied der Deutschen Gesellschaft für Ästhetische Zahnmedizin (DGÄZ) gestalten wir Ihr Lächeln individuell – als Ausdruck Ihrer Persönlichkeit. Genießen Sie jeden Moment mit der Zuversicht, die ein schönes Lächeln schenkt.
Vereinbaren Sie einen Termin und entdecken Sie, wie ästhetische Zahnmedizin neue Perspektiven eröffnet!
Sie wünschen sich weiterführende Informationen zu diesen Themen?
Gerne informieren wir Sie persönlich über die Methoden zur Behebung von Fehlstellungen.
Vereinbaren Sie jetzt einen Termin unter Tel. 02161 / 18 36 16. Wir freuen uns auf Sie!
Ursache
Die Ursache vieler - auch chronischer - Schmerzsymptome ist eine Störung des Zusammenspiels des Ober- und Unterkiefers und der Kaumuskulatur. Verspannungen der Kaumuskulatur können sich leicht über Hals- und Lendenwirbelsäule bis in den Beckenbereich fortsetzen.
Diagnostik
Die Diagnostik von Funktionsstörungen des Kauorgans, die als „cranio-mandibuläre Dysfunktion“ („CMD“) bezeichnet werden, ist einer der Schwerpunkte unserer Tätigkeit. Obwohl nicht so bekannt wie Karies und Parodontitis, zählt die „craniomandibuläre Dysfunktion (CMD)“ zu den häufigsten Erkrankungen in der Zahnmedizin.
Methodik
ZEBRIS - DIE NEUE DIMENSION DER KIEFERREGISTRIERUNG FÜR DIE PERFEKTE FUNKTION
Das zebris Kieferregistriersystem JMA-Optic erfasst schnell, berührungslos und präzise dreidimensional alle Bewegungsfreiheitsgrade des Unterkiefers. Dies gibt uns ein genaues Bild des Zusammenspiels von Zähnen und der daran beteiligten Gelenke. Auf diese Weise erfassen wir den aktuellen Funktionszustand des Kausystems und erarbeiten ein für Sie geeignetes Therapiekonzept.
Therapie
SCHIENENTHERAPIE
Wir behandeln CMD mit maßgefertigten Schienen, die Sie meist nachts tragen. Diese Schienen sorgen für eine gleichmäßige Belastung der Kiefergelenke, verhindern Fehlbelastungen und schützen Ihre Zähne vor übermäßigem Abrieb. Bei Bedarf stimmen wir die Behandlung eng mit anderen Fachärzten und Therapeuten ab, um bestmögliche Ergebnisse zu erzielen.
REKONSTRUKTIONEN/ REPOSITIONS-ONLAYS
In manchen Fällen ist es nötig, die veränderte Kieferposition durch eine Zahnrekonstruktion auszugleichen. Mit präzisen Messdaten passen wir Onlays, Teilkronen, Kronen oder Brücken optimal an Ihr Kausystem an. Dabei gilt: Solche restaurativen Maßnahmen erfolgen nur, wenn Ihr Kauorgan funktionell stabil und beschwerdefrei ist.
Parodontitistherapie - starke Zähne, ein Leben lang.
Parodontitis ist eine entzündliche Erkrankung des Zahnhalteapparates, die durch Bakterien verursacht wird. Das Zahnbett – das stützende Gewebe rund um den Zahn – sorgt maßgeblich für die Stabilität Ihrer Zähne. Wird die Entzündung nicht rechtzeitig behandelt, kann sie sich auf den Kieferknochen ausweiten und das Fundament Ihrer Zähne ernsthaft schädigen. Eine frühzeitige Diagnose und gezielte Therapie sind entscheidend, um Folgeschäden zu vermeiden und Ihre Zahngesundheit zu bewahren. Informieren Sie sich hier über alle Themen rund um die Parodontologie – wir beantworten Ihre Fragen und stehen Ihnen mit Erfahrung und Kompetenz zur Seite. Gemeinsam sorgen wir für ein gesundes Lächeln!
Warnsignale für eine Parodontitis
Die Parodontitis beginnt häufig mit einer Zahnfleischentzündung. Wird diese Krankheit in dieser Phase bereits diagnostiziert, ist eine Behandlung zumeist verhältnismäßig einfach zu gewährleisten.
Eine Zahnfleischentzündung muss nicht zwangsläufig in eine Parodontitis übergehen. Dennoch muss sie ernst genommen werden, da sie immer die Grundlage der Parodontitis ist.
Mögliche Symptome:
- Rötung und Schwellung des Zahnfleischs
- Rückgang des Zahnfleischs
- Zahnfleischbluten (beim Zähneputzen oder auch spontan)
- Empfindliche Zahnhälse
- Dauerhafter Mundgeruch oder fortwährend unangenehmer Geschmack im Mund
- Zahnfleischtaschen
- Änderung der Zahnstellung
- Länger werdende, gelockerte Zähne (im späteren Erkrankungsstadium)
- Eiteraustritt am Zahnfleischrand beim Massieren des Zahnfleischs (im späteren Erkrankungsstadium)
Nachhaltige Konzepte
Moderne Parodontitisbehandlung – wir setzen auf nachhaltige Konzepte und kontinuierliche Weiterbildung
Wir nehmen die Bedeutung der Parodontitis sehr ernst und bleiben durch stetige Fortbildungen immer auf dem neuesten Stand der Wissenschaft. Mit unserer Expertise möchten wir Ihnen wirkungsvoll helfen.
Ein parodontaler Screening-Test gehört in unserer Praxis zur Routine bei der zahnärztlichen Kontrolle. So können wir frühzeitig feststellen, ob bei Ihnen eine Parodontitis vorliegt.
Bei leichten Formen der Erkrankung reicht oft schon eine intensive Reinigung der Zahnfleischtaschen und der Zahnwurzeloberflächen im Rahmen einer professionellen Zahnreinigung (PZR) aus, um die Entzündung nachhaltig zu beseitigen.
Ist die Parodontitis jedoch fortgeschritten und die Zahnfleischtaschen sehr tief oder bleiben auch nach der Reinigung Entzündungszeichen bestehen, kann ein weiterführender chirurgischer Eingriff notwendig werden.
Regelmäßige Prophylaxe, eine konsequente häusliche Zahnpflege und professionelle Zahnreinigungen bzw. unterstützende Parodontitistherapien (UPT) sind die beste Vorbeugung gegen Parodontitis – und der erste Schritt, um das bakterielle Gleichgewicht im Mund wiederherzustellen. Wir begleiten Sie dabei persönlich und engagiert!
Parodontitis – häufig unterschätzte Gefahr für Ihre Zahngesundheit
Parodontitis ist eine durch Bakterien verursachte, entzündliche Erkrankung des Zahnhalteapparates – dazu zählen das Zahnfleisch und der Kieferknochen. Leider sind die Risiken dieser Krankheit in der Bevölkerung noch zu wenig bekannt.
Parodontitis gehört zu den häufigsten Infektionskrankheiten der Mundhöhle und ist bei Erwachsenen sogar häufiger für Zahnverlust verantwortlich als Karies. Viele Betroffene merken lange Zeit nichts von ihrer Erkrankung, da Parodontitis meist schmerzfrei verläuft und erste Warnzeichen häufig unterschätzt werden.
Achten Sie auf Ihre Zahngesundheit und lassen Sie sich regelmäßig professionell beraten und betreuen!
INDIVIDUALPROPHYLAXE - Für gesunde Zähne und ein starkes Leben.
Warum Prophylaxe so wichtig ist
Regelmäßige Zahnprophylaxe bildet die Grundlage für nachhaltige Mundgesundheit – sie schützt Sie zuverlässig vor verbreiteten Erkrankungen wie Karies und Parodontitis. Durch regelmäßige Kontrolluntersuchungen können wir Probleme am Zahnhalteapparat frühzeitig erkennen und sofort gezielt behandeln, bevor größere Schäden entstehen.
Zahlreiche wissenschaftliche Studien zeigen: Eine unbehandelte Parodontitis kann sich negativ auf die allgemeine Gesundheit auswirken und das Risiko für Herzinfarkt, Schlaganfall, Diabetes oder Rheuma erhöhen.
Unsere Prophylaxe umfasst moderne Maßnahmen wie die professionelle Zahnreinigung, Fluoridierung, Fissurenversiegelung, individuelle Ernährungsberatung und Mundhygieneschulungen. So sorgen wir gemeinsam für gesunde, starke Zähne und Ihr Wohlbefinden – ein Leben lang.
Sportzahnmedizin in Mönchengladbach
Sportzahnmedizin – mehr Leistungsfähigkeit durch gesunde Zähne Viele Sportler unterschätzen den Einfluss der Zahngesundheit auf ihre Leistungsfähigkeit. Dabei zeigen zahlreiche Beispiele, dass gezielte zahnärztliche Maßnahmen die körperliche Performance deutlich verbessern können. Mit moderner Sportzahnmedizin schützen und optimieren Sie nicht nur Ihren Körper, sondern auch Ihre Zähne – denn Probleme im Mund wirken sich auf den ganzen Organismus aus und können sportliche Erfolge beeinträchtigen. Besonders bei Kontaktsportarten sind spezialisierte Zahnärzte ein wichtiger Partner. Wissenschaftliche Untersuchungen bestätigen: Durch spezielle Analysen, präzise Vermessungen und die Anfertigung individueller Aufbiss-Schienen – darunter professionelle „Performance-Schienen“ für Sportler – lassen sich Reaktionsvermögen, Kraft und Ausdauer gezielt steigern. Bitte beachten Sie: Individuell angepasste Aufbiss- und Performance-Schienen sind Privatleistungen. Seit vielen Jahren betreuen wir als Sportzahnärzte unter anderem das Team von Borussia Mönchengladbach, zum Beispiel bei wichtigen Pre-Season-Checks. Als Partner des Deutschen Olympischen Sportbundes und Mitglieder der Deutschen Gesellschaft für Sportzahnmedizin (DGSZM) setzen wir unsere umfassende Erfahrung und modernste Methoden engagiert für Ihre Gesundheit und Ihre sportlichen Ziele ein.
Pre-Season-Check & Analyse
Für viele Sportler gehört die ärztliche Untersuchung zum festen Bestandteil des Gesundheits-Checks vor Saisonbeginn. Die Zähne bleiben dabei bislang häufig außen vor.
Durch den Pre-Saison-Check beim Zahnarzt können Störfaktoren festgestellt und behandelt werden, bevor diese sich auf die Gesamtleistung des Körpers auswirken können.
Mit Hilfe von Funktionsanalysen und Vermessungen werden angepasste Aufbiss-Schienen erstellt, welche zu mehr Kraft und Ausdauer verhelfen.
Entzündungen im Zahnbereich können zu Gelenkschmerzen und Herz-Rhythmus-Störungen führen, welche die Ursache für enormen Leistungsverlust sein können. In schlimmen Fällen können abgestorbene Zähne sogar zu Problemen mit den Organen führen.
Performance-Schiene
Der richtige Biss des Sportlers kann die Leistung beeinflussen. Dies ist evidenzbasiert.
Mit Performance-Schienen können neben der Protektion der Zähne weitere Bereiche beeinflusst werden: Gleichgewicht, Koordination, Konzentration, Beweglichkeit, Stabilität, Maximalkraft, Ausdauer, Regeneration und damit nicht zuletzt die Psyche.
Sport-Mundschutz
Zahnschutz und Traumatologie im Sport – für Sicherheit und Leistung
Gerade im Kontaktsport kommt es häufig zu Verletzungen, bei denen auch die Zähne betroffen sind. Die dentale Traumatologie hat fortschrittliche Therapiekonzepte entwickelt, um Zähne nach Unfällen zu erhalten, zu regenerieren oder bei Verlust optimal zu versorgen.
Ein individuell angepasster Sportmundschutz ist für Sportler unverzichtbar – er schützt nicht nur das Gebiss zuverlässig, sondern bringt auch messbaren Komfort beim Tragen und Atmen. Zudem wirkt ein optimal gefertigter Mundschutz wie eine Kraftschiene und kann die Gesamtleistung des Körpers positiv beeinflussen.
Viele Muskelprobleme und Verletzungen lassen sich auf Verspannungen in der Kaumuskulatur zurückführen – oft verursacht durch einen nicht optimal angepassten Mouthguard. Häufig bleibt dieser Zusammenhang unerkannt.
Sportzahnmediziner passen den Mundschutz individuell an und sorgen damit für zuverlässigen Schutz, besseren Muskelkomfort und höhere Leistungsfähigkeit. Lassen Sie sich beraten und profitieren Sie von professionellem Zahnschutz im Sport!
Implantologie
Implantate – zurück zu natürlicher Lebensfreude und Selbstbewusstsein
Ihr strahlendes Lächeln liegt uns am Herzen – denn gesunde, vollständige Zähne sind ein entscheidender Schlüssel zu Wohlbefinden und echter Lebensqualität. Ein Zahnverlust kann das Selbstbewusstsein spürbar beeinträchtigen. Zahnimplantate bieten Ihnen eine besonders sanfte, natürliche und langlebige Lösung, um Zahnlücken zu schließen – ganz ohne Belastung für gesunde Nachbarzähne.
Moderne Implantate fügen sich harmonisch in Ihr Lächeln ein, erhalten den Kieferknochen und schenken Ihnen das Gefühl eigener, stabiler Zähne zurück.
Ob Einzelzahnimplantat oder umfassende Versorgung: Wir begleiten Sie persönlich auf Ihrem Weg zu mehr Lebensfreude, neuem Selbstvertrauen und einem rundum gelungenen, natürlichen Lächeln.
Sie wünschen sich weiterführende Informationen zum Thema „Implantate“?
Gerne informieren wir Sie persönlich über die Möglichkeiten der Versorgung mit Implantaten.
Vereinbaren Sie jetzt einen Termin unter Tel. 02161 / 18 36 16. Wir freuen uns auf Sie!
Kinderzahnheilkunde
Prophylaxe
Zahngesundheit für Kinder – von Anfang an Vertrauen und Sicherheit Der erste Kontakt mit dem Zahnarzt prägt oft das ganze Leben eines Kindes. Positive Erfahrungen sind die Basis für Vertrauen und eine angstfreie Beziehung zur zahnärztlichen Betreuung. Deshalb unsere wichtige Empfehlung: Sagen Sie niemals zur Drohung „Sonst musst Du zum Zahnarzt!“ – solche Aussagen können über Jahre hinweg Ängste verstärken und die Motivation zur Zahnpflege hemmen. Mit individueller Beratung, liebevoller Betreuung und spielerischen Methoden sorgen wir dafür, dass Ihr Kind von Anfang an entspannt, neugierig und selbstbewusst zum Zahnarzt kommt. Dank des neuen „Gelben Hefts“ laufen die zahnärztlichen Früherkennungsuntersuchungen jetzt analog zu denen beim Kinderarzt. So wird die Zahngesundheit Ihrer Kinder systematisch und lückenlos begleitet – von den ersten Zähnen an, ergänzt und dokumentiert wie die kinderärztlichen Untersuchungen. Gute Zahnpflege hält die Zähne lange gesund – wir zeigen Ihnen und Ihrem Kind Schritt für Schritt, wie das spielerisch und einfach gelingt. Gemeinsam sorgen wir für gesunde Kinderzähne und ein rundum gutes Gefühl beim Zahnarzt!
Sport-Mundschutz
Sport-Mundschutz
Sport ist gesund und macht Spaß. Kinder und Jugendliche mögen gerade Sportarten, bei denen es auch mal „zur Sache“ geht wie Fußball, Hockey, Skateboard oder Kampfsportarten, welche in sich schon ein gewisses Risiko bergen.
So sind viele Zahn- und Mundverletzungen gerade im Kindes- und Jugendalter auf Sportunfälle zurückzuführen. In den meisten Fällen trifft es die oberen Schneidezähne und oft gehen die Zähne als Ganzes verloren. Um die Zahnsubstanz zu ersetzen, sind dann teilweise aufwändige zahnärztliche Behandlungen notwendig.
Als zertifizierte Sportzahnärzte legen wir Wert auf die Vorsorge,welche für Ihr Kind eine individuelle Sportschiene erfolgen kann. Diese wird bereits heute von vielen Vereinen und Sportverbänden verbindlich vorgeschrieben
ZIMkid
Prophylaxe Preis für Mönchengladbacher Zahnärzte
Mönchengladbach ist wahrscheinlich die erste deutsche Stadt, die flächendeckend die internationalen Fluoridrichtlinien für Kleinkinder umsetzt, was auf das Engagement der "Zahnärzte Initiative Mönchengladbach (ZIM)" zurückzuführen ist. Dafür erhielt die ZIM im Dezember 2015 den Wrigley Prophylaxe Preis 2015.
Artikel in den zahnärztlichen Nachrichten über das "Mönchengladbacher Modell".
ZIMkid ist eine gemeinsame Aktion der Zahnärzte Initiative Mönchengladbach ZIM und der Mönchengladbacher Kinder- und Jugendärzte. Das Ziel des gemeinsamen Engagements ist die Verbesserung der Mundgesundheit von Kindern und Jugendlichen unserer Stadt.
Weitere Informationen finden Sie auf der ZIMkid Webseite.
Weitere Informationen
HERAUSNEHMBARER ZAHNERSATZ
Herausnehmbarer Zahnersatz in Form von Prothesen kommt hauptsächlich dann zum Einsatz, wenn eine erhebliche Anzahl an Zähnen fehlt und ein festsitzender Zahnersatz nicht für den Patienten in Frage kommt.
Generell stellt der festsitzende Zahnersatz aber immer die bessere Alternative dar und bietet deutlich mehr Lebensqualität.
Zahnerhaltung
Gesunde Zähne – Unsere tägliche Freude
Wir freuen uns jeden Tag, wenn unsere Patienten mit gesunden und schönen Zähnen lachen. Unser Ziel ist es, diesen Zustand zu bewahren oder – wenn nötig – wiederherzustellen.
Eine der wichtigsten Maßnahmen ist die regelmäßige und umfassende Prophylaxe. Mit professioneller Vorsorge erkennen wir Risiken frühzeitig und können rechtzeitig handeln.
Krankheiten wie Karies oder Parodontitis lassen sich nicht immer vermeiden, doch die moderne Zahnmedizin bietet viele Möglichkeiten, Zähne und Zahnfleisch zu schützen und zu behandeln.
Wenn Zähne fehlen, ersetzen wir sie auf verschiedenen Wegen – unter anderem mit sicherem und ästhetischem Zahnersatz auf Implantaten.
Auch kranke oder beschädigte Zähne erhalten wir, indem wir auf die Fachbereiche Parodontologie, Endodontologie und moderne Füllungstherapien setzen.
So sichern wir Ihre Zahngesundheit langfristig – für ein schönes Lächeln und mehr Lebensqualität.
Laser
Laser in der Zahnheilkunde
Sanfte Zahnbehandlung mit modernster Lasertechnologie
Die Lasertherapie ergänzt unsere herkömmlichen Behandlungsmethoden perfekt. Laser in der Zahnmedizin sind bewährt und werden ständig weiterentwickelt, um Behandlungen noch präziser und schonender zu machen.
Das heißt für Sie: weniger Schmerzen, schnellere Heilung und eine angenehme Behandlung.
Der Laser bietet viele innovative Einsatzmöglichkeiten, zum Beispiel bei Zahnfleischbehandlungen, der Reinigung von Wurzelkanälen oder der schmerzarmen Entfernung von Karies.
Sprechen Sie uns gern an, wenn Sie mehr über die Vorteile der Lasertherapie erfahren möchten!
Zahnarztpraxis Mönchengladbach: Unsere Leistungen für Ihr strahlendes Lächeln
In unserer modernen Zahnarztpraxis Mönchengladbach stehen Sie als Patient im Mittelpunkt. Wir, das Team von Neumann & Coros, bieten Ihnen umfassende Zahnmedizin, die Gesundheit, Funktion und Ästhetik vereint. Unser Ziel ist es, Ihnen nicht nur eine erstklassige Behandlung zu bieten, sondern auch dafür zu sorgen, dass Sie sich bei uns wohl und bestens aufgehoben fühlen. Jeder gute Zahnarzt und jede gute Zahnärztin weiß, dass Vertrauen die Basis für eine erfolgreiche Therapie ist.
Ästhetische Zahnheilkunde – Für ein selbstbewusstes Auftreten
Ein schönes Lächeln ist ein Ausdruck von Vitalität und Lebensfreude. Die ästhetische Zahnheilkunde bietet vielfältige Möglichkeiten, das Aussehen Ihrer Zähne zu optimieren. Ob Bleaching, Veneers oder zahnfarbene Füllungen – wir beraten Sie individuell, um das für Sie perfekte Ergebnis zu erzielen und Ihr Lächeln als Ausdruck Ihrer Persönlichkeit zu gestalten.
Prophylaxe: Der Schlüssel zur langfristigen Zahngesundheit
Eine regelmäßige und gründliche Prophylaxe ist die beste Voraussetzung, um Zähne und Zahnfleisch dauerhaft gesund zu erhalten. Unsere professionelle Zahnreinigung entfernt hartnäckige Beläge und Verfärbungen effektiv und beugt Karies sowie Parodontitis vor. Wir legen großen Wert auf eine umfassende Vorsorge, damit Sie Ihr strahlendes Lächeln ein Leben lang behalten können.
Funktionsdiagnostik bei CMD
Kopf-, Nacken- oder Rückenschmerzen können ihre Ursache im Kausystem haben. Mit der Funktionsdiagnostik gehen wir diesen Beschwerden auf den Grund. Eine Craniomandibuläre Dysfunktion, kurz CMD, bezeichnet eine Fehlregulation des Kiefergelenks. Als spezialisierter Zahnarzt in Mönchengladbach analysieren wir präzise Ihr Kausystem, um Funktionsstörungen zu erkennen und eine maßgeschneiderte Therapie einzuleiten. So stellen wir die harmonische Funktion Ihres Kiefers wieder her und steigern Ihr allgemeines Wohlbefinden.
Unsere zahnmedizinischen Leistungen im Überblick:
- Ästhetische Zahnheilkunde: Für ein perfektes und strahlendes Lächeln.
- Prophylaxe: Professionelle Zahnreinigung für den Schutz Ihrer Zähne.
- Funktionsdiagnostik: Diagnose und Behandlung von CMD und Kiefergelenksbeschwerden.
- Umfassende zahnmedizinische Versorgung für die ganze Familie.
Vertrauen Sie auf die Expertise unserer Zahnarztpraxis. Wir freuen uns darauf, Sie persönlich kennenzulernen und gemeinsam mit Ihnen für Ihre Zahngesundheit zu sorgen.

