Dies ist nur ein kleiner Einblick in unser Behandlungsspektrum.
Wenn Sie mehr über unsere Leistungen erfahren möchten oder Fragen haben – wir nehmen uns gerne Zeit für Sie und beraten Sie persönlich!
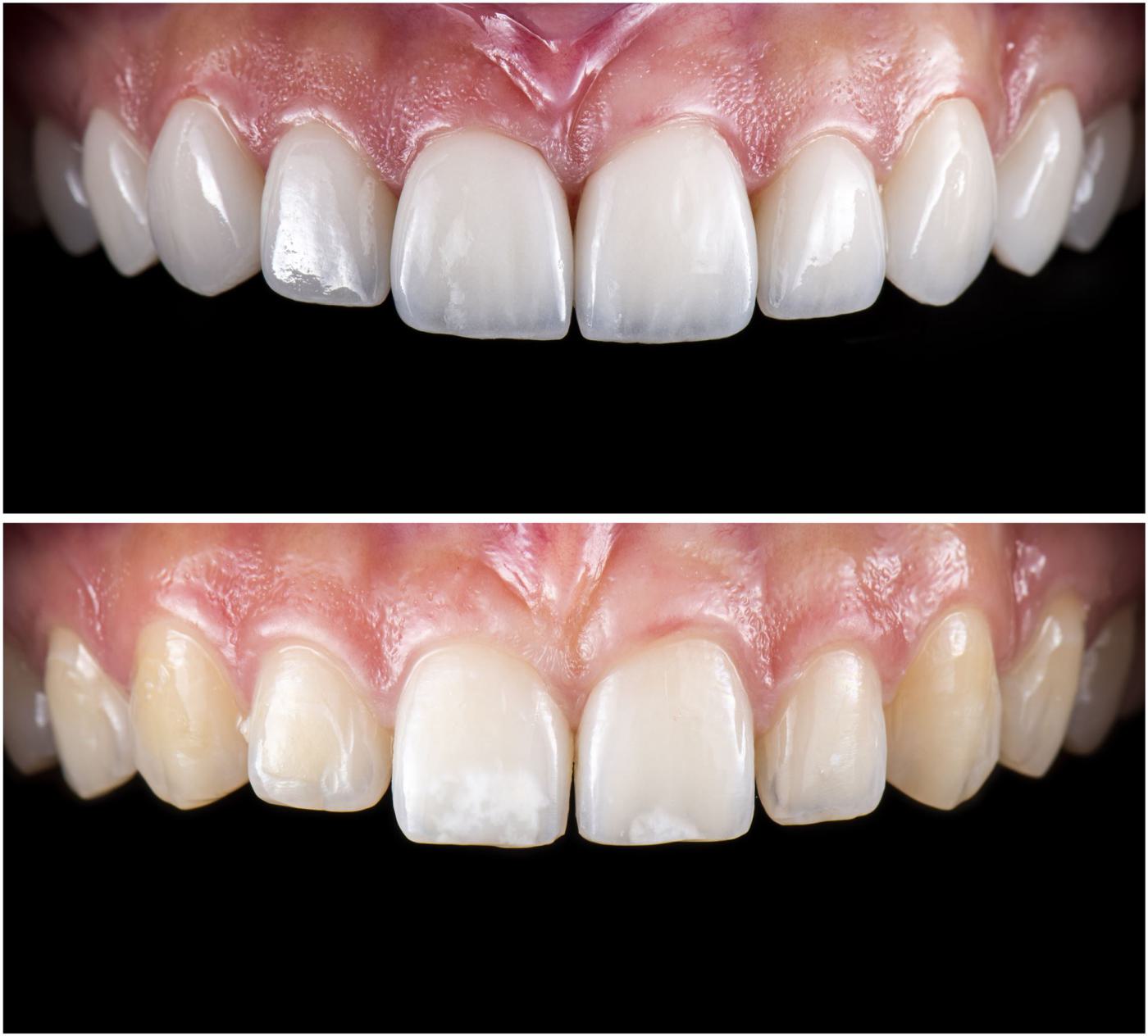
Veneers
Mit Veneers bieten wir Ihnen eine moderne Lösung, um das Erscheinungsbild Ihrer Zähne sichtbar zu verbessern. Die hauchdünnen, lichtdurchlässigen Keramikschalen ermöglichen es, leichte Fehlstellungen, kleine Zahnlücken und Verfärbungen gezielt zu korrigieren – für eine natürlich schöne, ebenmäßige Zahnreihe und ein strahlendes Lächeln
Schnarchschienen / Unterkieferprotrusionsschienen (UKPS)
Schnarchschienen und Unterkieferprotrusionsschienen können nächtliche Atemprobleme wirksam reduzieren und die Schlafqualität deutlich verbessern. Ihre Anfertigung erfolgt individuell in unserer Praxis – eine ärztliche Verordnung durch einen Facharzt für Schlafmedizin oder HNO ist bei den Unzterkieferprotrusionsschienen (UKPS) erforderlich.
Kinder- und Jugendzahnheilkunde
Die Individualprophylaxe bei Kindern und Jugendlichen legt den Grundstein für lebenslang gesunde Zähne. Durch regelmäßige Vorsorgeuntersuchungen, professionelle Zahnreinigungen und Fluoridmaßnahmen – dokumentiert im gelben Vorsorgeheft – beugen wir Karies und Zahnfleischerkrankungen gezielt vor und fördern nachhaltige Zahngesundheit von Anfang an.
Craniomandibuläre Dysfunktion / Bruxismus
Funktionsstörungen wie CMD (Craniomandibuläre Dysfunktion) und Bruxismus können Schmerzen, Zahnverschleiß und Verspannungen verursachen. Durch präzise Diagnostik und individuell angepasste Schienentherapie entlasten wir Kiefergelenke und Muskulatur – für mehr Wohlbefinden und eine entspannte, gesunde Bisslage.
Sportzahnmedizin
Gesunde Zähne steigern sportliche Leistung – moderne Sportzahnmedizin optimiert Kraft, Reaktionsvermögen und Ausdauer durch individuell angepasste Aufbiss- und Performance-Schienen. Seit vielen Jahren betreuen wir als Sportzahnärzte unter anderem das Team von Borussia Mönchengladbach und unterstützen Sportler mit unserer Erfahrung und modernsten Methoden.
